Home Type 1Researchers find vital clue in the progression of Type 1 diabetes

Researchers find vital clue in the progression of Type 1 diabetes

by News Source
0 comments Donate
Screenshot 2025 12 01 at 10.06.08 AM

GAINESVILLE, Fla. — Type 1 diabetes is a disease in which the body mistakenly attacks itself as the immune system destroys the pancreas’s insulin-producing cells.

Why the immune system turns against these cells remains one of the enduring questions in diabetes research. Scientists have clues, some developing theories, but no single answer.

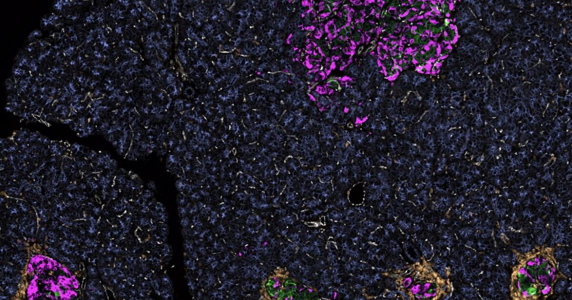
Now, researchers at the University of Florida’s Diabetes Institute have added an important piece of the puzzle. In a new study, researchers found that the smallest collections of insulin-producing beta cells, as well as single cells scattered throughout the pancreas, are the first to die as the immune system launches its assault.

This is thought to occur even before someone with diabetes exhibits symptoms.

The loss of these cells appears to be a harbinger of the next phase of Type 1 diabetes, when the immune system begins to destroy the larger and more significant collections of insulin-producing cells in the pancreas. These clusters of cells are called the islets of Langerhans.

“We did not expect that,” said the study’s senior author, Clive H. Wasserfall, Ph.D., a researcher at the UF Diabetes Institute. “And we can only speculate as to why that would be. This leads to a place where, if we can save these remaining bigger islets of Langerhans, perhaps one day we could prevent or delay the disease from happening.”

Understanding the disease’s progression, Wasserfall said, provides the scaffolding for strategies to combat the disorder even as a cure remains a distant hope.

The finding might also one day help doctors detect Type 1 diabetes earlier, allowing for quicker intervention to slow its progression.

The study is published in the November issue of the journal Diabetes.

These smaller collections of beta cells are seldom a focus of diabetes researchers.

“The finding is interesting because researchers traditionally focus on the islets of Langerhans, and these other insulin cells are not usually their focus,” said Denise M. Drotar, Ph.D., the study’s lead author and a postdoctoral researcher at UF Health.

The islets of Langerhans are named for German pathologist Paul Langerhans, who in 1869 observed that the cell clusters under a microscope resembled islands in a sea of pancreatic cells. “Islet,” meaning island, is of French and Latin derivation.

Insulin is a hormone that allows glucose, or sugar, to enter the body’s cells. Without it, glucose builds up in the blood, which leads to serious and life-threatening complications. People with Type 1 diabetes take insulin daily to replace what their own beta cells cannot provide.

The disease is distinct from Type 2 diabetes, a metabolic disorder in which the body still produces insulin, at least initially, but cells stop responding to it properly, a condition known as insulin resistance. Type 2 is strongly influenced by genetics, age, weight and lifestyle.

As often occurs in science, Wasserfall and colleagues benefited from a touch of serendipity in their investigation. The team initially wanted to learn why the pancreases of those with Type 1 diabetes are smaller than those without the disease.

“The genesis of the study was to see if the islets are closer together in the smaller pancreases,” said Wasserfall, an assistant professor in the UF College of Medicine’s Department of Pathology, Immunology and Laboratory Medicine. “It turned out that they’re not.”

Along the way, the team used advanced imaging and computer analysis to examine slides of pancreatic tissue from the UF Health-based Network for Pancreatic Organ donors with Diabetes, or nPOD. It’s the largest biorepository of pancreatic tissue used for Type 1 diabetes research.

The study revealed that smaller insulin-producing clusters vanished early in the disease process, while larger islets remained mostly intact in samples from individuals with early-stage disease.

“And not all the islets disappear at the same rate,” Wasserfall said. “The smaller ones tended to go first.”

That finding could help explain why Type 1 diabetes progresses differently in children than in adults. Young children, whose pancreases naturally have more small islets, often lose insulin-producing ability rapidly after diagnosis. Older individuals may retain some insulin production for years.

You may also like

Today’s Diabetes News, your ultimate destination for up-to-date and insightful information on diabetes, health tips, and living a fulfilling life with diabetes. Our mission is to empower and support individuals with diabetes, their loved ones, and the wider community by providing reliable, relevant, and engaging content that fosters a healthier and happier life.

Most Viewed Articles

Latest Articles

Are you sure want to unlock this post?
Unlock left : 0
Are you sure want to cancel subscription?
Show/Hide Player
-
00:00
00:00
Update Required Flash plugin
-
00:00
00:00